
CONTATTI
Via Tuscolana, 58/64
00182 Roma








Intarsi estetici
Un intarsio e’ un restauro che viene creato dal laboratorio odontotecnico partendo da una impronta della bocca del paziente che poi viene cementato alla poltrona in un secondo appuntamento.
La scelta di eseguire un intarsio e’ dettata dalla necessita' di ricostruire molari o premolari molto danneggiati ed ottenere al contempo il miglior risultato estetico e funzionale senza ricorrere alla copertura dei denti con una capsula.
Quando e’ indicato un intarsio?
- In elementi la cui sostanza sana rimasta e’ esigua;
- per ottenere il miglior risultato estetico e funzionale;
- in alternativa all’amalgama d’argento;
- in alternativa a restauri in composito molto estesi che potrebbero non essere sufficientemente robusti e resistenti ai carichi masticatori.
Di che materiale sono fatti gli intarsi?
Gli intarsi possono essere eseguiti in oro, ceramica o resine composite. Il primo materiale ad essere utilizzato e fino a pochi anni fa anche l’unico, era l’oro. L’avvento di nuove tecniche e materiali ha permesso all’odontoiatria di potersi avvalere anche di materiali che fossero dello stesso colore del dente, senza pero' rinunciare ai risultati funzionali e di durata offerti dall’oro.
Il materiale con cui eseguire un intarsio e’ ovviamente scelto in base alle esigenze estetiche del paziente e alla condizione dei suoi elementi dentali.
Bisogna quindi tener a mente il notevole carico masticatorio a cui i denti posteriori sono sottoposti, lo stato di tessuto sano residuo, lo stato dei tessuti molli che circondano il dente, il colore degli altri elementi dentali.
Come si prepara un intarsio?
Si inizia rimuovendo dal dente la sostanza danneggiata modellandolo al contempo in modo tale da poter successivamente alloggiare l’intarsio. A questo punto viene presa un’impronta del dente e degli attigui in modo da poter ricreare una copia della zona su cui si costruira' il manufatto.
Lo spazio che andra' ad alloggiare l’intarsio viene chiuso con un materiale provvisorio.
Tutto il materiale ottenuto (impronta, foto, colore, cere) viene inviato al laboratorio odontotecnico che creera' l’intarsio.
Nella seconda seduta viene rimosso il materiale da otturazione provvisorio, viene provato l’intarsio e poi cementato.
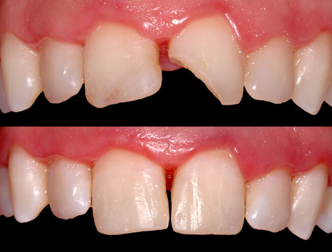
Faccette
Le faccette sono sottilissimi gusci eseguiti con materiali dello stesso colore dei denti naturali (resine composite, ceramica) che vengono cementate sui denti anteriori, sia superiori che inferiori, ricoprendone la parte esterna frontale.
La tecnica di preparazione e cementazione e’ simile a quella che si esegue per gli intarsi.
Quando sono indicate le faccette?
-Per mascherare difetti dello smalto e della dentina;
-per chiudere spazi eccessivi che talvolta ci possono essere tra i denti (diastemi);
-coprire macchie permanenti (come quelle provocate da alcuni antibiotici e dal fluoro quando assunti durante il periodo di formazione dei tessuti duri dell’organismo);
-correggere lievi irregolarità ortodontiche (denti ruotati, inclinati);
-rivestire denti fratturati, usurati, scheggiati.
Di che materiale sono fatte le faccette?
Le faccette possono essere eseguite in ceramica o resine composite. Come per gli intarsi, il materiale piu' adatto sara' scelto in base al singolo caso, sia dal punto di vista estetico che funzionale.
Come si prepara una faccetta?
Le fasi cliniche sono sovrapponibili a quelle descritte per gli intarsi. Di fatto si prepara un sottile strato di smalto dei denti anteriori, di cui si prendera' un’impronta, che e’ necessaria per la creazione del manufatto. Tra una seduta e l’altra il paziente avra' una faccetta provvisoria che viene rimossa poi per cementare quella definitiva.
Come ci si prende cure di intarsi e faccette?
Come per tutti i manufatti che vengono eseguiti nel cavo orale, una corretta ed attenta igiene orale e’ di fondamentale importanza.
Quindi lavare i denti dopo ogni pasto, passare il filo interdentale, scovolini interdentali e spazzolini monociuffio in base a quanto consigliato dall’odontoiatra, sono tutte abitudini che allungheranno la vita e non incideranno sulla qualità del manufatto.
E’ bene ricordare che intarsi e faccette necessitano di controlli regolari e periodici (al massimo ogni sei mesi) in base al caso.
Infine per prevenire danni alle faccette e’ necessario evitare di strappare il cibo ed addentare oggetti troppo duri con i denti restaurati con le faccette.
0670613316

CONTATTI
Via Tuscolana, 58/64
00182 Roma
0670613316
Informativa sulla Privacy